9月23日晚上22时,贾先生像往常一样路过沙井中心客运站天桥时,不料意外突然发生……在最后两级台阶时,不慎左脚踩空,当场摔倒无法动弹。他强忍疼痛,自行拨打120急救电话,被紧急送往深圳万丰医院骨科急救。
保守治疗?站立有风险!
凌晨12点多,经拍片检查,贾先生被诊断为股骨颈骨折(头下型)。因骨折部位靠近股骨头,如果采取保守治疗或者骨折内固定,可能导致骨不愈合,股骨头缺血坏死,导致患者下肢疼痛,不能正常行走。谁愿意让后半生耽搁在轮椅上?

▲病患部位术前DR照
换关节,最大程度恢复健康
41岁,对于家中的顶梁柱,对于一个上有老下有小的男人,绝对是经济来源的支柱,岂会甘心下半辈子与轮椅为伴?在住院期间,骨科雷主任组织全科室医生对他的病情进行了深入探讨和分析,考虑到贾先生的实际情况,应尽最大努力帮助他最大程度恢复健康。征得贾先生同意,最终决定采取髋关节置换手术。
所谓髋关节置换手术,俗称换了个“关节”,即用人工假体替换病变关节,让关节恢复正常活动。为了让手术顺利进行,专家团队精心制定了一系列详细的手术方案、麻醉方案、护理方案、术后康复治疗方案,为术中可能出现的风险做好一切预防工作。


▲髋关节置换手术正在紧张进行中
4个小时手术,站立不再是梦想!
时间:9月27日上午9点
地点:深圳万丰医院6楼无菌手术室
事件:人工髋关节置换手术
主刀专家:雷光华主任
麻醉方式:腰硬联合麻醉
在骨科蔡炎泉、白香彪等医生的配合下,全体医护人员通力协作,1小时、2小时、3小时、4小时......根据多年团队配合的经验和手术技巧,终于,贾先生的新“关节”被精心安放在恰当位置,髋关节全髋置换手术顺利完成!

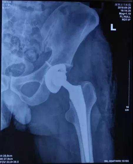
▲病患部位术后DR照

▲术后患者恢复良好
“我同事能够成功地做这么大手术,真是他的福气,真心感谢万丰医院骨科好团队。”病房内,贾先生的同事握着雷主任的手不停的表达谢意。目前,贾先生的关节恢复良好,将继续住院待进一步康复锻炼。
深圳万丰医院致力提供周全满意服务。若您有疑问,可以点击在线咨询进行免费交流沟通,我院竭诚为您排忧解难。










